![]()
じっくり時間をかけて丁寧に
保険診療でも出来る限りメタルフリー治療を目指しております。
保険診療は定額の治療で、丁寧にじっくり治療しても、短時間で雑に治療しても同価格なので、数多く診る為に短時間の処置となってしまう場合が多いです。
当院では保険診療もじっくり時間をかけて丁寧に説明・治療行っていきます。
また、保険診療で使われる安い金属は見た目も悪く、硬く、溶けやすく体内に入ってしまい体に良くありません。
実は保険診療でも金属を使わずに白いもので治療を行うことができる場合があります。
当院は保険診療でもできるだけ金属を使わない方法をご提案いたします。
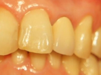
保険での虫歯治療(直接法レジン修復)

保険の虫歯治療でもここまできれいに回復できます。
ただ真っ白にするのではなく、歯本来のグラデーションを回復させています。
問題は保険の材料はあまり長持ちしないということです。
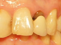
保険での虫歯治療(硬質レジンクラウンと直接法レジン修復)

白い被せ物と写真左側の歯と歯の間の虫歯を修復しました。
セラミックに比べると透明感などの色調や耐久性などは劣りますが、コストパフォーマンスを考えると十分きれいだと思います。
予防歯科 ケイアイデ...