![]()
インプラント症例
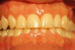
前歯部インプラント骨移植同時症例

大学病院よりご依頼いただいた症例。仮歯が入っていますが、欠損部歯茎が大きくへこんでいて、CT画像ではパノラマレントゲンで想定していたよりもかなり大きく骨がなかったですが、インプラント手術と骨の移植を同時に行い審美的にも回復しました。また同時に行うことにより治療期間が9か月→4か月の短縮されました。被せ物には審美性を考慮して土台からセラミックを使用しました。

上顎全額的インプラント症例

上の全ての歯がぐらぐらな状態で左上の歯(写真向かって右上)が痛いとご来院。入れ歯は絶対に嫌ということで、まずは痛む左上(レントゲンでは右上)を抜歯、サイナスリフト(骨の移植)を併用しインプラント埋入して残りの歯で無理やり仮歯を支える。左上インプラントが生着し左で咬めるようになったら前歯(鼻の下がくぼんで老人様顔貌を避けるため骨の厚みを出す手術併用)、右上の歯はすべて抜歯して(ソケットリフト併用)しインプラント埋入。生着に時間のかかる日本承認の従来型のインプラントだったので計1年以上の治療期間を要しましたが一度もご自身の歯で咬めない時期はないようにしました。

抜歯即時インプラント埋入・即時仮修復症例


奥歯三本が歯周病と根の破折で抜歯に。
入れ歯は絶対に嫌で歯がない期間があるのは困るとのご希望。
術前CT診断から後ろの二本なら抜歯直後にインプラント埋入が可能、後ろの一本は軽い骨移植が必要なので不可でしたが、前の一本は手術と同時に仮歯を入れることが可能と判断。
一度の処置で、抜歯・インプラント埋入・骨移植・仮歯まで行った症例。
抜歯後に骨移植を行いインプラントを入れる方法では治療期間が7~8か月かかるところをこの方法にしたので、入れ歯も使わずに治療期間を4か月に短縮できました。
被せ物の色は後日ホワイトニングを行うので白めにしています。
当院ではできる限り患者さんの負担が少ない方法をご提案しています。
サイナスリフト(骨移植)併用インプラント埋入

ご覧の通り全く骨がないので骨を造りインプラントを埋入しました。
隣の歯も状態が良くなく予後が悪そうです。
抜歯後はインプラントをご希望でしたので、サービスで同部にも骨を移植しておきました。
これで次回オペ時の患者さんの移植のリスクが軽減しました。
ガイド使用フラップレス骨移植インプラント同時症例
通常これほど骨が薄い場合は上の症例の様な大きな骨の移植が必要となりますが、シュミレーションソフトを使い審査したところギリギリでインプラント埋入と同時に骨の移植を行えると判断。
またシュミレーションを基に作成したインプラント手術ガイドを使用したので歯茎を切らないフラップレスで手術を行うことができました。
フラップレス手術はよくありますが実際は精度が悪くなり術後の歯茎の退縮も起こりやすいので状態が良くないと行わないですが、痛みも少なく患者さんに優しい方法です。
また骨の移植もインプラント埋入の為に開けた穴から空洞内の粘膜を剥がしスペースに移植する方法でこちらも難度が高く半数以上の症例で失敗している(少しの失敗では一部インプラントと結合するので失敗の及ぼす影響はわかりにくいです)という統計データも存在しますが、こちらも術後の痛みも少なく治療期間も大きな移植と比較して6か月程度短縮することができます。
当院では術後にCT撮影を行い結果をごまかさずに患者さんと一緒に確認しています。


下顎抜歯即時インプラント
➡
国産インプラント使用。
抜けた穴よりワンサイズ大きいインプラントを埋入し、隙間は移植材で補填し骨を再生させました。
抜歯とインプラント埋入を同時に行うことによって治療期間が6か月から3か月に短縮されました。
根管治療症例
根管治療リカバリー症例
術前 ➡
術後
神経の治療後数年で再発してしまった症例。
根の先までしっかりと薬が入っておらず根の管が細くなってしまっていたのでそれをしっかりと形成し薬を入れました。
保険の治療では根の再感染は避けられないのですが、出来るだけしっかりとした治療を行うと予後が良くなる確率も高くなります。
根管治療レッジ除去リカバリー症例
術前 ➡
術中
根の先に影(感染)が出てしまい根の治療を行わないといけないのですが以前他院にて処置を施した古い薬が入っています
画像を見ると手前の根にはしっかりと先まで薬が入っていません(1枚目の画像)
根のカーブに対応できず間違った方向へ削り込んでしまっています(赤矢印)
古い薬を除去しとあるテクニックを駆使し正しい根幹への道を見つけました(青矢印)
簡単にやっているように見えますがそのまま器具を入れては大きく間違った道に導かれてしまうなか、その脇から1mmにも満たない狭く曲がった孔を探しそちらへ導くのは至難の技ですが、マイクロスコープとCTを使いしっかりとした手法で行うとこのような症例にも対応できます
破折器具除去症例
術前➡
除去後
根の先に治療に使う器具が折れてしまっていた症例。
比較的取りやすい場所にあったので保険の治療で取れました。
基本的には破折器具の除去は特殊な器具を使用するので保険治療では行っていません。
審美・ホワイトニング症例
ホワイトニング1日・歯茎の漂泊一回
➡
➡
➡
カメラ条件が違うので色はわかりずらいですが、オフィスホワイトニング1日・歯茎のレーザー漂白一回。ホワイトニングの効果に関しては一枚目と二枚目を比較して見てください。三枚目は歯茎の漂泊前、四枚目は歯茎の漂泊後です。レーザーで焼くので2~3日二枚目の写真のようなカサブタが出来てしまいますが痛みはありません。
オフィスホワイトニング1日8回照射
➡ 
オフィスホワイトニング1日だけの症例です。
詰め物や被せ物がないのでバランス良く白くなりました。
当院のオフィスホワイトニングは薬液を使い切るまで照射回数フリーなので頑張っていただければ一日で白さを実感いただけます。
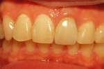
上前歯オールセラミックブリッジ

写真左側の上前歯3本がオールセラミックブリッジ。(当院で治療)
右側の上前歯2本は元から入っていたメタルセラミッククラウン。
既存の歯と同じシェード(規格の色)ですがオールセラミックは金属の土台が透けないのでより白味や透明感がきれいに出ます。
ガムブリーチ(歯茎の漂泊)
➡
レーザー一回照射した症例。
当院では痛みの出る薬剤や回数のかかるレーザーではなく、強力な半導体レーザーを使用しているため、麻酔が必要ですが1~2回でメラニン沈着やメタルタトゥーもきれいになります。
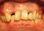
色調不適合セラミック修正症例
➡
写真では伝わりにくいですが術前写真(左)の上真ん中のはが一本だけとても白く、せっかくセラミックを入れたのにととてもご不満でした。
旧セラミックを除去し完成した新セラミック(右)。
日本人には珍しい色、かつ歯のグラデーションも強く、色調採得がとても難しい症例だったので技工士が直接2度の色調採得・調整を行いました。
クリーニング・歯石除去
➡
歯の形が変わって見えるほど歯石が沈着しています。
除去後は歯石による炎症で出血してしまっています。
簡単なクリーニングでここまできれいになります。
保険診療
保険での虫歯治療(レジン修復)
➡
保険の虫歯治療でもここまできれいに回復できます。
ただ真っ白にするのではなく、歯本来のグラデーションを回復させています。
問題は保険の材料はあまり長持ちしないということです。
抜歯・外科症例
上親知らず
➡
前の歯にえぐりこんで虫歯にしてしまっているので抜歯へ。
歯を切断しないと抜くことができないのですが、切断する際と歯を抜くために力を入れる際に上の空洞に穴を開けてしまうと蓄膿症に、前の歯を傷つけてしまうと抜歯することになってしまうので細心の注意と丁寧な処置が必要です。
親知らずといえば下の歯のイメージがあるかもしれませんが、上の親知らずは腫れにくいだけで、深いところに生えている症例は視野は悪いし根っこも多くかなり困難です。
下顎親知らず抜歯即時インプラント

大部分が骨に埋まっている親知らずを抜歯と同時に一本足りない奥歯へインプラントを埋入した症例。
親知らずの抜歯も大変でしたが、元々あった歯が歯周病で骨がかなり吸収されており、神経との距離がかなり近くなっていました。
また、骨の吸収の影響で埋入開始位置が深くかなり深く視野の確保がかなり大変でした。
日本では手に入らないストローマンロキソリッドを輸入し、強度が増しかつ太くて短いインプラントで何とか対応した症例。
診療科目 ケイアイデ...